top of page
關於品睿
醫師介紹
診療項目
牙周病專科
假牙專科
矯正專科
顯微根管專科
口腔外科專科
人工植牙專科
部落格
Use tab to navigate through the menu items.
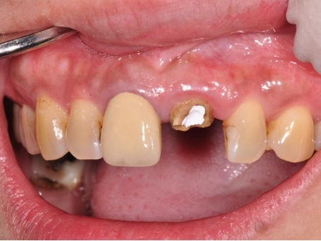
假牙科專科案例分享:專科協同治療,重現自然笑容
案例背景 患者楊小姐,46歲女性,因左上正中門齒的牙冠脫落而求診。經過詳細檢查後,我們判定該牙齒無法保留,需進行人工植牙重建。同時,楊小姐的右上顎正中門齒也是假牙,經過討論後,我們擬定了治療計畫: 右上正中門齒全瓷冠修復,左上正中門齒人工植牙 。治療由 牙周病專科醫師...
bottom of page